Transform Your Smile
Expert Cosmetic Dentistry

Comprehensive range of cosmetic dentistry procedures, tailored to suit your specific needs and budget

Cosmetic Dentistry
Expert Care
Quality Results
Smiling woman before and after the teeth whitening procedure, close-up image
Dentist wearing gloves is carefully examining a patient's teeth in a modern dental clinic, ensuring optimal oral health and hygiene
Person, teeth and mouth with smile for dental clean, hygiene or oral and gum care treatment. Closeup, lips and tooth whitening with dentist for cavity or plaque removal on a blue studio background

Cosmetic Dentistry

Cosmetic dentistry encompasses a variety of procedures designed to improve the aesthetics of your smile and treatment plans are tailored to suit your specific needs and budget.

Dr Valentine and the team can discuss your concerns with you and describe what options may be suitable to transform your smile into one you can be proud of.

Book via Centaur
Happy Black Female Patient Looking At Mirror After Dental Treatment In Clinic, Cheerful African American Woman Sitting In Chair In Stomatological Cabinet And Enjoying Her Beautiful Smile, Closeup
emax ceramic veneers before and after picture

Teeth Whitening

Teeth whitening can be the simplest and most cost effective of all cosmetic procedures to brighten up your smile. Whether you have a single unsightly, discoloured tooth or you'd like an overall lift to your entire smile, teeth whitening is an inexpensive, safe and non-invasive way of improving your smile and increasing your confidence.

Whitening is often the first stage of any smile makeover and the results are permanent.

In-Chair Whitening

Pola Office+, the world's fastest bleach, is the answer for those patients living busy lifestyles. Applied by your dental professional while you sit in the dental chair, watching your favourite movie or listening to relaxing music. Pola Office+ contains 37.5% hydrogen peroxide so you get the fastest result.

Take-Home Whitening

Top and bottom teeth whitening is a safe and effective treatment which can be performed at home. Custom made trays are created into which whitening gel is placed. The tray is worn (usually overnight) until the desired level of whitening has been achieved. This generally takes 10 to 14 days.

Single Tooth Whitening

For a single discoloured tooth (usually a root canal treated tooth), we place a specially formulated peroxide paste within the crown of the tooth. This treatment may require a number of visits depending on the initial shade and how long the tooth has been discoloured.

Clear correct

Clear correct is the virtually invisible alternative to braces that lets you keep smiling during your treatment. Clear correct uses a series of custom-made, clear, removable aligners that gradually move teeth toward the smile you've always wanted.

Clear correct is so discreet; most people won't even notice you're wearing them.

Virtually Invisible

Clear aligners that are barely noticeable

Removable

Eat and drink what you want during treatment

Comfortable

No metal brackets or wires to irritate

Custom Made

Tailored specifically for your smile

Book Your Consultation
Dental veneer placement over frontal teeth. 3D illustration
ceramic crowns and veneers

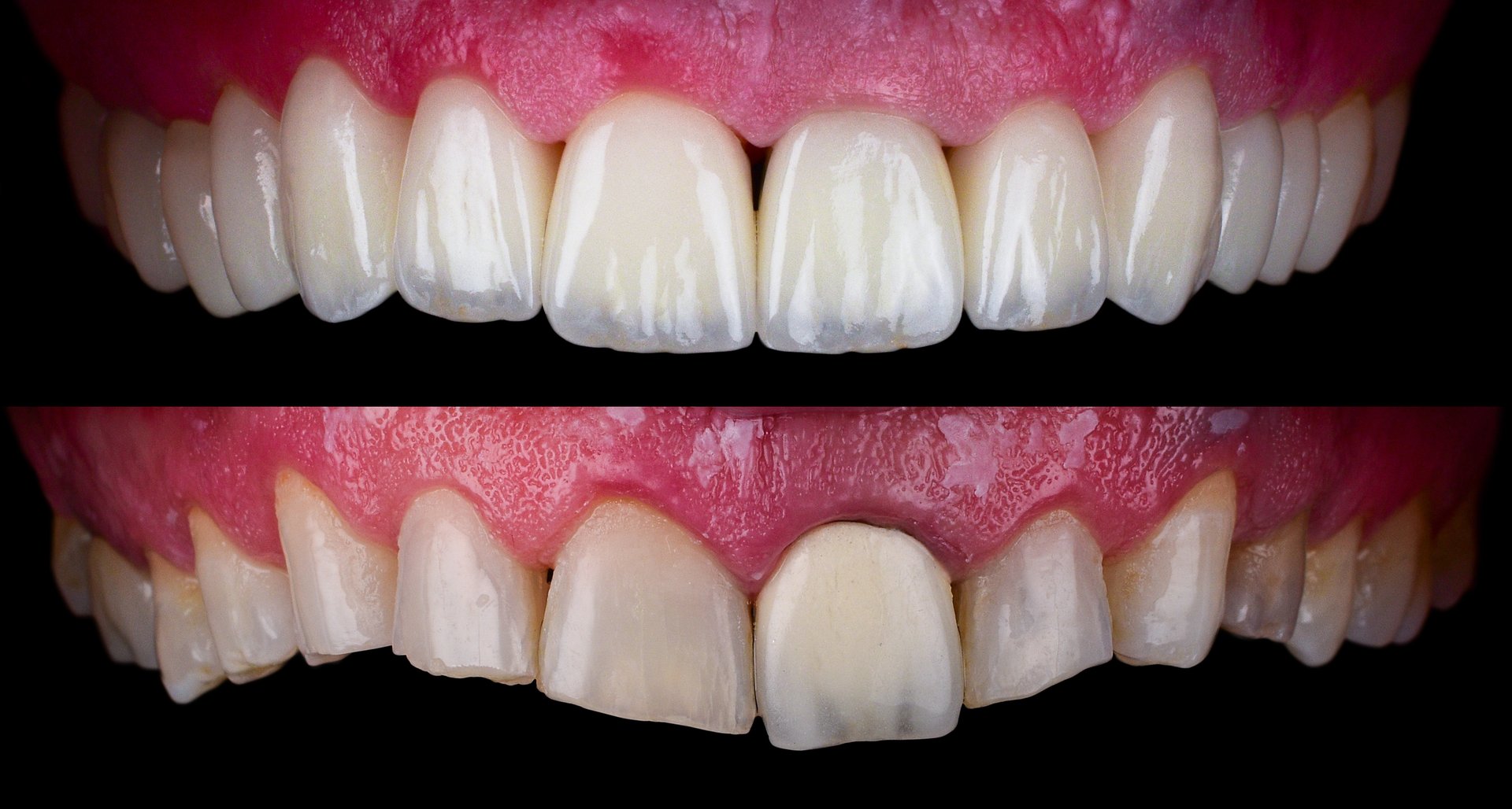
Veneers

A dental veneer is a thin layer of porcelain or composite resin made to fit over the front of a tooth to improve its appearance. Veneers are used to mask strong discolourations, reshape teeth, close gaps, repair fractured and worn teeth, or simply to instantly 'straighten' a rotated or crowded tooth.

Dental veneers offer an excellent alternative to orthodontic treatment in this regard.

Ceramic Veneers Package

Starting from $800

Dental veneer package starting from $800 per veneer for the most professionally customized veneer recreating a more natural and perfect shade for your SMILE!

Direct Veneers

Placed directly in a single visit for immediate results

Porcelain Veneers

Fabricated via a two-stage process for superior aesthetics

Ask one of our dentists which option would be best for you.

Crowns & Bridges

Dental Crowns

A crown is a custom made cap which strengthens and improves the appearance of a tooth. Crowns are suited for heavily filled teeth, broken or cracked teeth and to improve the integrity of a tooth following root canal treatment.

Traditionally crowns have been made out of gold or porcelain fused to metal. Both materials are satisfactory, however current state-of-the-art Zirconia (Ceramic Steel) porcelains allow metal-free crowns to be placed in situations where strength is required without compromising the restoration's aesthetics.

Dental Bridges

A Bridge is used to replace a missing tooth and improve the appearance of the adjacent teeth which are normally heavily filled and generally utilises the same technologies as a crown.

Sometimes a bridge can be bonded just to one of the adjacent teeth as a more conservative and cost-effective solution.

Schedule Appointment
Doctor dentist examining patient oral cavity with veneers closeup. Installation of composite and zirconium veneers concept

Ready to Transform Your Smile?

Contact us today to discuss which procedure is right for you. Our experienced team is here to help you achieve the smile you've always wanted.

Expert Care

Experienced professionals

Latest Technology

State-of-the-art equipment

Personalized Plans

Tailored to your needs

Frequently Asked Questions

Common questions about our cosmetic dental procedures

Get In Touch

Have questions or ready to book an appointment? Fill out the form below or visit us at our clinic.

Send Us A Message

Visit Our Clinic

Address

Suite 8, Eastside Building
6 Waterfront Place, Robina
QLD 4226

Hours

Monday - Friday: 8:30 AM - 5:00 PM

Appointments outside these hours may be made by special arrangement. Same day emergency appointments available.